O glaucoma é uma doença ocular silenciosa que pode levar à perda irreversível da visão se não for tratada a tempo. Este artigo tem como objetivo ajudá-lo a entender melhor o glaucoma, seus tipos, causas e tratamentos disponíveis.
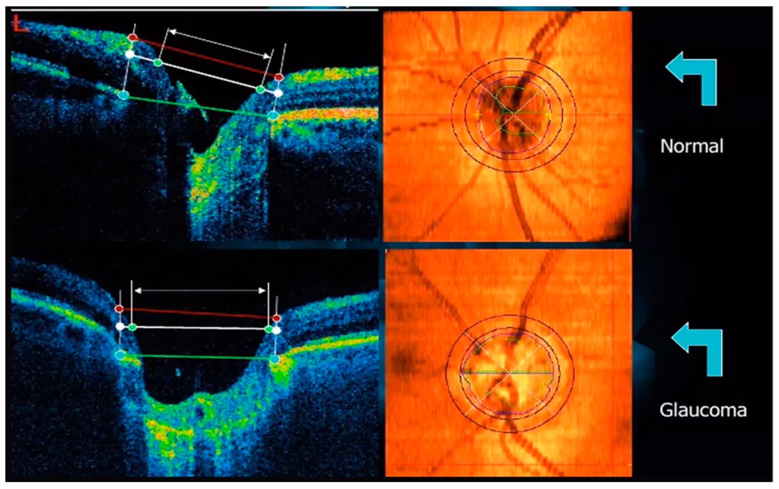
O que é Glaucoma?O glaucoma é uma doença que danifica o nervo óptico do olho, geralmente devido ao aumento da pressão ocular.
A pressão elevada ocorre quando o líquido que flui naturalmente dentro do olho não é drenado adequadamente.
Com o tempo, essa pressão pode danificar o nervo óptico, levando à perda de visão (imagem abaixo) ou até mesmo à cegueira.

Tipos de GlaucomaExistem quatro tipos principais de glaucoma:
Glaucoma de ângulo fechado (agudo): Este tipo de glaucoma ocorre quando a saída do humor aquoso é subitamente bloqueada, resultando em um aumento rápido e doloroso na pressão intraocular.
Glaucoma de ângulo aberto (crônico): Este é o tipo mais comum de glaucoma. Nele, um aumento na pressão ocular desenvolve-se lentamente com o passar do tempo e a pressão elevada causa um dano permanente no nervo óptico, causando perda do campo visual.
Glaucoma congênito: Este tipo de glaucoma é presente ao nascer e é geralmente hereditário.
Glaucoma secundário: Este tipo de glaucoma é causado por uma condição médica subjacente, como diabetes, uveítes, cataratas, entre outras.

No glaucoma de ângulo fechado, e no fechamento angular agudo há alteração do fluxo de humor aquoso (líquido da parte da frente do olho). Veja a circulação normal:
O diagnóstico e o tratamento do glaucoma envolvem uma série de exames e procedimentos. Vamos explorar alguns dos principais exames e tratamentos alternativos.














